Welcome
What is Endodontics?
What is Endodontics
Why Choose an Endodontist?
Treatment
The GentleWave Procedure
Patient Information
Tooth Pain
Saving Your Tooth
Preparing for Treatment
After Treatment
Care For Life
Patient Privacy
Financial Policy and Insurance
Referring Doctors
Treatment Examples
Referral Forms
FAQ
Our Office
Our Team
Tour our Office
Contact Us
Blog
Welcome
What is Endodontics?
What is Endodontics
Why Choose an Endodontist?
Treatment
The GentleWave Procedure
Patient Information
Tooth Pain
Saving Your Tooth
Preparing for Treatment
After Treatment
Care For Life
Patient Privacy
Financial Policy and Insurance
Referring Doctors
Treatment Examples
Referral Forms
FAQ
Our Office
Our Team
Tour our Office
Contact Us
Blog
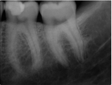
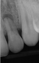
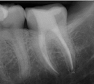
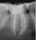
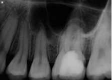
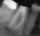
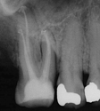
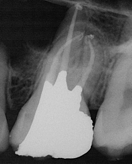
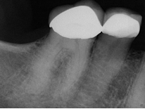
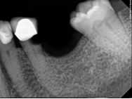
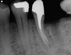
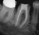
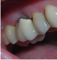
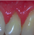
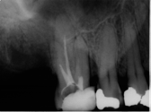
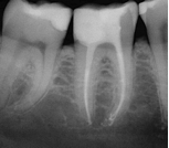
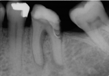
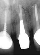
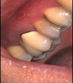
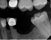
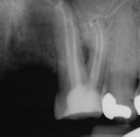
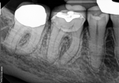
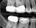
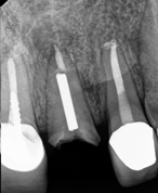
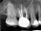
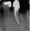
Treatment Examples
Conventional Treatment with Standard Core Restoration
Non-surgical endodontic treatment with resin core build up
Conventional endodontic treatment with alloy core build up
Conventional Endodontic Treatment with Post and Core Coronal Restoration
Conventional Endodontic Treatment/Retreatment with Prefabricated Bonded Post and Core
Conventional Endodontic Treatment with Minimal Clinical Crown: Cast Post and Core Coronal Restoration
Surgical Endodontic Treatment
Hemisection with Cast Post and Core
Surgical Exposure of ECIR with External Cervical Root Repair, Conventional RCT with Prefab Post
MB Root Amputation
Long Term CaOH Cases
12 Month CaOH Treatment
14 Months CaOH Treatment
All Treatment performed by Dr. Brian A. Christopherson